Rapid Palatal expander (Hyrax appliance):  

When upper jaw is narrow this kind of rapid palatal expander is used to widen the jaw. By doing this we gain space to correct the irregularities in th ejaw as well as we develop broad and esthetic smile.

Mini-implants:

Mini-implants that are used for orthodontic purposes is placed by your orthodontist Dr. Sultan without doing any gum cuts, and used for temporary anchorage mechanics.

Face-mask (Reverse-pull Headgear):

This appliance is used to correct the lower and upper jaw discrepancy and usually combined with an upper jaw expander appliance. The prognosis depends of the patients’s cooperation, genetics, and the extent of future growth.

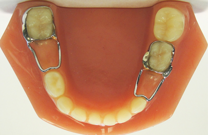
Space maintainers:

This appliance is used in cases of early loss of milk teeth to maintain space for permanent teeth which have not erupted yet. In not applied, the adjacent teeth can drift into the empty place and this can result impaction or ectopic eruption of the underlying permanent teeth.

Retainer:

After orthodontic treatment, the teeth have a tendecy to move their previous positions which is called relapse. In severe discrepancies this tendecy is higher. After removal of the fixed orthodontic appliances a fixed or removable retainer should be used. With full cooperation in wearing retainers will prevent your teeth shift.

Doppel/Twin Block/Herbst Appliance:

These removable or fixed appliances are used to reduce the discrepancy between the upper and lower jaws orthopedically. They can be used only in younger and growing children for 12-15 months.

© 2017 - All Rights Reserved | DigiCyp

The content of this site is intended to inform the user about the health. The information on the site can never take the place of a physician's treatment or consultation. Site content should never be evaluated for personal identification or selection of treatment.