Orthognathic surgery is a treatment option in severe bite problems and jaw discrepancies. If you need orthodontic and surgery treatment your orthodontist will consult a plastic surgeon to work with and this way you will receive the best care possible.

When orthognathic surgery might be needed?

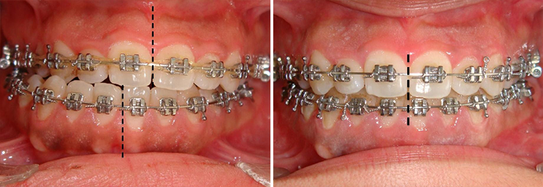
Surgical treatment in addition to orthodontics may be used in adult patients who have severe bite problems and aesthetic concerns. In females growing stop at age 16, and 18 in males. In cases where orthodontic treatment will not be enough to correct the malposition of the jaws, orthognatic surgical procedures is needed. Before the surgery a 12-18 months of orthodontic treatment is held, and with the fixed appliances in mouth surgery is done.

How can I understand if I need surgery or not?

Your orthodontist can explain you if you need surgery or not. Surgery need may depend on severity of your jaw relationship and teeth alignment.

How does orthognathic surgery work?

Your surgery will be performed by a plastic surgeon in a fully-equipped hospital with your orthodontist. Surgery can take a few hour depending on your case. Safter the surgery you will stay at the hospital in order to have best care. Next two weeks will be your restperiod. That is why you have to plan your time according to your healing period.

What are the risks of orthognathic surgery?

The surgery has some risks. However the surgery is performed for many years. We are happy to answer any of your questions.

What are the advantages (rewards) of orthognathic surgery?

The most important advantage of surgery is the beatiful and healthy smiles that our patients gain. After orthognathic surgery and orthodontic treatment your malocclusion an djaw discrepancies will be resolved, and will have a beatiful smile with improved self-esteem.

© 2017 - All Rights Reserved | DigiCyp

The content of this site is intended to inform the user about the health. The information on the site can never take the place of a physician's treatment or consultation. Site content should never be evaluated for personal identification or selection of treatment.